In primo piano
Ultime novità

Il futuro della cybersicurezza, tra IA e tecnologie quantistiche
Prende il via a Roma la Cybertech Europe, cresciuta del +20%

Esa e Asi,da Italia risultati straordinari in Osservazione Terra
Fra i settori di punta della prossima Conferenza Ministeriale

In Italia circa 500 stazioni per monitorare i terremoti h24
A Milano 3 giorni di confronto sulla Rete sismica nazionale

C'è un legame tra rigidità dei tessuti e progressione dei tumori
I meccanismi molecolari scoperti da uno studio guidato dal Cnr

La Nasa indietro nella corsa alla Luna cerca alternative a Musk
Presto un nuovo bando, possibile il coinvolgimento di Bezos

Il cerambice alpino è tornato in Alto Adige
Popolazione stabile del raro coleottero nei boschi di Caldaro

Tumore seno, farmaco aumenta sopravvivenza senza peggioramento
-62% rischio progressione o morte in pazienti con mutazione Esr1

Nuovo vaccino anti-cancro contro più forme di tumore
A base di nanoparticelle. Dati positivi dai test sui topi

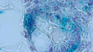
Cellule, spore e insetti nelle 20 migliori foto del 'micromondo'
Premiate dal concorso fotografico Nikon Small World 2025

Catturata la prima immagine di una coppia di buchi neri
Orbitano uno attorno all'altro con una periodicità di 12 anni

Le foreste tropicali australiane sono diventate fonti di CO2
È una risposta al cambiamento climatico

Scoperto il ghiaccio che congela a temperatura ambiente
Si forma in condizioni di pressione estrema

Meno di 4 ore per sequenziare il genoma umano, è record
Utile per cure più tempestive e mirate

Jim Modarelli, il tocco lucano dietro il logo della Nasa
Ideatore ha origini di Colobraro, la storia in un libro

Maker Faire, 45mila visitatori per la fiera dell'innovazione
Tagliaventi: "Un manifesto vivente di umanesimo tecnologico"

Ideare sito Einstein Telescope a Lula, contest Ateneo Cagliari
Si cercano progetti per disegnare centri ricerca e divulgazione

Produzione di farmaci più sostenibile grazie alla luce
Possibile una chimica più verde senza uso di sostanze tossiche

Cammelli incisi sulla roccia segnalavano l'acqua nel deserto
Scoperti in Arabia Saudita, risalgono a 12.000 anni fa

Nanoparticelle hanno fatto regredire l'Alzheimer nei topi
Resettano il sistema vascolare

Scoperto un parassita capace di alterare gli ecosistemi marini
Piccolo crostaceo,scoperta arriva dalla Stazione Zoologica Dohrn

Tracciati i confini del fenomeno più misterioso della fisica
Da un algoritmo anti-rumore nuovi dati sul neutrino di Majorana

Alzheimer, 3 milioni di euro per rivoluzionare diagnosi precoce
Finanziamento del Mur per il progetto di Iit e D-Tails di Roma

Il bagliore della Via Lattea possibile spia della materia oscura
Lo indicano le simulazioni al supercomputer

La ricerca italiana entra nel programma spaziale delle Maldive
Vectoring Space, team padovano supportato da Zoppas Industries

Ali e bozzoli cosmici svelati attorno ai flash di raggi X
Fanno luce su cosa avviene nelle stelle dopo la loro morte

UniBa e Regione Puglia mapperanno il Parrocchetto monaco
L'obiettivo è limitare i danni della specie aliena invasiva

Cellule pelle riprogrammate in ovociti,nuove terapie infertilità
Risultato ricercatori della Oregon Health Science University

Da studio l'intreccio fra pipistrelli, allevamenti suini e virus
Analisi Istituto Zooprofilattico Sperimentale delle Venezie

Biomateriali smart e staminali rigenerano le articolazioni
Primi test di Istituto Ortopedico Rizzoli e Scuola Sant'Anna

Api selvatiche minacciate in Europa, aggiornata la Lista Rossa
Stimato un calo delle popolazioni del 56% in un decennio

Così il cervello trasforma le emozioni in azioni
Studio, alla base una via a doppio senso tra due aree diverse

Gli alberi dell'Amazzonia sono diventati più grandi
A causa dell'aumento di CO2, +3,2% ogni 10 anni